Mycose: Solutions Rapides pour 75% des Femmes
Résumé : Mycose Un développement excessif du Candida albicans, un type de levure, peut provoquer [...]
1 Commentaire
Mar
Terre de diatomée : solution sûre contre puces et tiques
Résumé : Terre de diatomée La terre de diatomée est une solution sûre et efficace [...]
1 Commentaire
Fév
Parasites chez l’Enfant : Diagnostic et Prévention
Résumé : Parasites Pour diagnostiquer des parasites chez un enfant, observez les symptômes tels que [...]
Jan
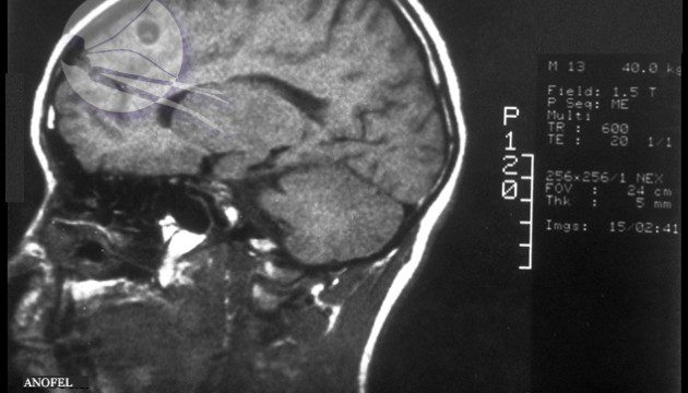
Ver Solitaire : Étudiant Victime d’un Parasite Cérébral
Résumé : Ver Solitaire Un étudiant américain présentait des migraines sévères, diagnostiquées plus tard comme [...]
1 Commentaire
Jan
Traitement antiparasitaire : une nécessité incontestable ?
Résumé : Traitement antiparasitaire Oxyures (Enterobius vermicularis): Présents dans le monde entier, ces vers intestinaux [...]
3 Commentaires
Déc
4 Parasites Intestinaux Que Vous Pourriez Héberger Incognito
Résumé : Parasites Oxyures (Enterobius vermicularis) : Touchent principalement les enfants. Transmission par l’ingestion des [...]
Déc
Poux : 3 Solutions Naturels pour Éliminer
Résumé : Poux 99,6 % des poux testés ont développé des mutations génétiques rendant leur [...]
1 Commentaire
Nov
Intoxications aux Moisissures : Alimentation Antifongique
Résumé : Moisissures Les maladies liées aux moisissures sont un problème croissant souvent méconnu. La [...]
Nov
Laver les mains : L’Eau Froide tue-t-elle les Germes ?
Résumé : Laver les mains: Une nouvelle étude suggère que l’eau froide peut être efficace [...]
Nov
Parasites : Protégez Votre Animal de Compagnie
Résumé : Parasites Limitez les sorties de votre animal pendant la saison des puces. Maintenez [...]
Oct
- 1
- 2


